-
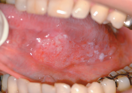
설암은 혀에서 발생하는 구강암으로 혀의 양 측면에서 주로 발생한다고 합니다. 주로 40대~60대 전후로 많이 발생한다고 하는데 설암 초기에는 어떤 증상이 있는지 발생 원인은 무엇인지 알아보도록 하겠습니다.
설암 초기 증상
설암의 대표적인 증상으로는 3주 이상 지속되는 통증을 동반하는 입 안의 궤양입니다. 그리고 입 안의 궤양이 시간이 지남에 따라 점점 커진다면 설암을 의심할 수 있습니다.
또한 혀의 운동장애로 인해 식사 및 언어장애가 발생할 수 있고 혀 조직 괴사로 인해 불쾌한 입 냄새가 날 수 있습니다.


설암 발병 원인
설암의 절대적 위험 요인은 흡연이라고 할 수 있습니다.
흡연은 주로 폐암을 발생시키는 것으로 잘 알려져 있으나 아무래도 구강으로 흡입하는 것이기 때문에 수많은 발암물질이 구강과 인두를 자극해 악성종양을 만들게 됩니다.
남성 발병률이 높은 것 또한 흡연자가 남성이 더 많기 때문입니다. 이와 더불어 충치와 자신의 구강사태와 맞지 않는 틀니의 자극에 의해 발생하는 경우도 있습니다.
또 다른 원인으로는 요즘 문제가 되고 있는 구강성교로 인한 바이러스 감염입니다.
바이러스는 살아있는 병균체로 설암을 발생시키는 바이러스는 성교를 통해 침투하게 되는데 여성의 자궁겨부암을 일으키는 바이러스와도 유사합니다.
구강성교 시 혀의 편평상피세포에 감염되면서 설암이 시작되는데 바이러스로 인한 암의 진행속도는 술과 담배로 인한 것보다 빠르기 때문에 요즘에는 젊은층인 20~30대 사이에서도 종종 발생하고 있습니다.
설암 치료방법

설암은 이비인후과에서 구강 검진과 조직 검사를 통하여 확진 후 외과적 치료나 방사선 치료가 가능합니다.
초기에 발병한 경우에는 간단한 절제술로 완치가 가능합니다.
설암이 진행된 경우에는 먼저 항암제를 통해 종양의 크기를 줄이고 수술을 진행합니다. 방사선 치료는 입마름 등 부작용이 심각하고 암세포가 근육을 침범한 경우 방사선 치료 효과가 제한적이기 때문에 초기암 외에는 권장하지 않습니다.



설암 예방법
평소 과도한 음주와 흡연을 피하고 구강 위생에 신경을 써야 합니다. 기본적으로 식후 하루 세 번 양치하는 것과 더불어 치실을 사용하여 치아 사이사이를 깨끗하게 관리한다면 예방에 큰 도움이 됩니다.
진행된 설암은 치료가 어렵지만 발생부위가 잘 눈에 띄기 때문에 비교적 쉽게 발견하여 치료가 가능하기 때문에 발견된다면 즉시 병원에 방문하여 치료를 받으시기 바랍니다.
오늘은 설암의 초기 증상과 발병원인 그리고 치료방법 및 예방법에 대해서 알아보았습니다. 기본적인 구강 위생만 잘 지킨다면 예방이 가능하니 잊지 마시고 자주 양치 하셔서 건강 지키시길 바라겠습니다.





'건강' 카테고리의 다른 글
임플란트 가격, 시술과정, 시술기간, 수명, 주의사항 (0) 2023.02.22 위산 역류 증상 및 막는방법 그리고 좋은 음식 (0) 2023.02.22 맛있지만 피해야할 1급 발암물질 가득한 식품 (0) 2023.02.15 겨울에 걸리기 쉬운 급성비염 코감기 증상 및 치료방법 (0) 2023.01.27